Bone Cancer In Dogs Symptoms Uk - Lymphoma In Dogs Pdsa / It accounts for 5% of all tumours in dogs (blackwood 1999).
Dapatkan link
Facebook
X
Pinterest
Email
Aplikasi Lainnya
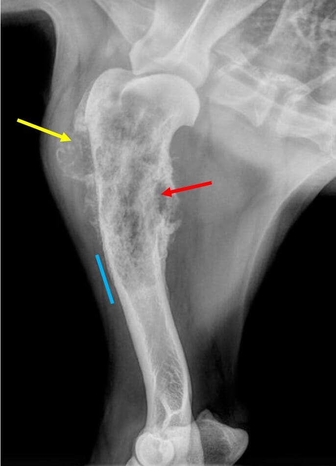
Bone Cancer In Dogs Symptoms Uk - Lymphoma In Dogs Pdsa / It accounts for 5% of all tumours in dogs (blackwood 1999).. However, research shows that it is invariably the metastatic nature of bone. Symptoms of bone cancer in dogs (picture credit: Other types of bone cancer include chondrosarcoma, fibrosarcoma, and hemangiosarcoma. Osteosarcoma in dogs is a primary bone tumour. Primary refers to cancer that starts in the bone versus spreading (metastasizing) into the bone from somewhere.
Other types of bone cancer include chondrosarcoma, fibrosarcoma, and hemangiosarcoma. But sometimes there are little or no signs, at least early on. Multiple myeloma is an uncommon cancer that is derived from a clonal population of cancerous (malignant) plasma cells in the bone marrow. Red flag signs include severe lameness, swelling and character change. Osteosarcoma accounts for 85% of all primary malignant bone tumors of dogs and tends to affect the limbs more commonly than the spine or skull.
Bone Cancer In Dogs Symptoms Causes Treatments Dogtime from dogtime.com Lameness caused by osteosarcoma is typically mild at the onset, but then progresses over time. And if you suspect cancer, you need to know the best treatment options available. It is a type of malignant tumor that, although can affect any part of the bone tissue, is mainly detected in the following structures: As the tumor continues to grow, the bone containing the tumor will expand. Unsurprisingly, lameness is one of the main symptoms of bone cancer in dogs. Osteosarcoma is the most common primary bone tumor of dogs and nearly 10,000 dogs are diagnosed with this cancer each year. Lameness osteosarcoma is the most common bone cancer in dogs. The warning signs of cancer in dogs are very similar to that in people.
Unsurprisingly, lameness is one of the main symptoms of bone cancer in dogs.
Bone cancer in dogs is also known as osteosarcoma. Limping or lameness (most often the first to manifest) Osteosarcoma accounts for 85% of all primary malignant bone tumors of dogs and tends to affect the limbs more commonly than the spine or skull. Osteosarcomas are aggressive tumours that spread to other parts of the body (often the lungs). Osteosarcoma is a type of bone cancer. This bone cancer grows very quickly and frequently spreads to other areas of the body, especially lymph nodes, lungs and other bones. Older dogs are more susceptible to the disease. However, research shows that it is invariably the metastatic nature of bone. Symptoms of bone cancer in dogs (picture credit: The early signs of bone cancer in dogs can difficult for pet parents to recognize since symptoms tend to be subtle. Cancer is a terrifying reality for dog owners today, causing nearly half the deaths of dogs over the age of 10. This is usually a severe lameness, where the dog cries in distress if you try to touch the sore place. Or a dramatic, sudden fracture.
Osteosarcoma is a type of bone cancer. Unsurprisingly, lameness is one of the main symptoms of bone cancer in dogs. Red flag signs include severe lameness, swelling and character change. It mostly affects the limbs (appendicular skeleton) but it can also develop in the skull, spine and the ribs (axial skeleton). As the tumor continues to grow, the bone containing the tumor will expand.
Top 5 Cancers In Dogs Fetch from fetchvets.com So any time an animal isn't. Now more than ever, it's critical to know the signs of cancer. Foot or toe cancer (digital and soft tissue cancer), which can include squamous cell carcinoma, melanoma, osteosarcoma, mast cell tumor, and malignant soft tissue sarcoma is common in dogs. Proximal region of the humerus. Limping or lameness (most often the first to manifest) Bone cancer in dogs is also known as osteosarcoma. While bone cancer can also present in cats as well as dogs, in cats the condition is extremely rare, as is the presentation of the condition in smaller dogs such as toy breeds. Distal region of the radius.
Osteosarcoma is the most common bone tumour in dogs, accounting for 80% to 85% of primary bone tumours in the species (shell & rosenthal 2007, modiano 2010), and 90% in large breeds (blackwood 1999).
Limping or lameness (most often the first to manifest) Osteosarcoma is the most common primary bone tumor of dogs and nearly 10,000 dogs are diagnosed with this cancer each year. Each of these types of cancer has their own set of symptoms and treatment, but the main symptom in all of these is a swelling or ulcer on the foot or toe. However, the amount of online information about cancer in dogs is overwhelming. As cancer can occur in different sites in a dog's body, symptoms of cancer in dogs vary depending on the type and the location of cancer. Osteosarcoma is the most common bone tumour in dogs, accounting for 80% to 85% of primary bone tumours in the species (shell & rosenthal 2007, modiano 2010), and 90% in large breeds (blackwood 1999). As the tumor continues to grow, the bone containing the tumor will expand. Symptoms of lymphoma vary depending on what type it is, where it is, and how aggressive it is. Lameness caused by osteosarcoma is typically mild at the onset, but then progresses over time. Getty images) symptoms of bone cancer in dogs can appear subtly, especially in the early stages of the disease. The causes for bone cancer are not yet well understood, but it is fairly easy to diagnose. So any time an animal isn't. However, research shows that it is invariably the metastatic nature of bone.
However, research shows that it is invariably the metastatic nature of bone. Those are all classic signs. As cancer can occur in different sites in a dog's body, symptoms of cancer in dogs vary depending on the type and the location of cancer. Bone cancer is also accompanied by a lot of swelling. Sneezing, difficulties in breathing, nose bleeds or other nasal discharges are common symptoms of bone cancer in dogs when the cancer has occurred in or around the nasal cavity.
Bone Cancer In Dogs Symptoms Causes Diagnosis Treatment Recovery Management Cost from images.wagwalkingweb.com At the very least, treatment of prednisone is shown to partially reduce lymph node size. A lump or a bump, a wound that doesn't heal, any kind of swelling, enlarged lymph nodes, a lameness or swelling in the bone, abnormal bleeding. Symptoms of bone cancer are pain, swelling and sometimes bone breakage. Multiple myeloma is an uncommon cancer that is derived from a clonal population of cancerous (malignant) plasma cells in the bone marrow. Osteosarcoma is the most common primary bone tumor of dogs and nearly 10,000 dogs are diagnosed with this cancer each year. Distal region of the radius. While bone cancer can also present in cats as well as dogs, in cats the condition is extremely rare, as is the presentation of the condition in smaller dogs such as toy breeds. Lameness osteosarcoma is the most common bone cancer in dogs.
One of the hallmark signs of canine osteosarcoma in the limb is pain, causing the dog to limp.
The most prevalent form of bone cancer, osteosarcoma, accounts for only 5% of all canine tumours but its ability to spread quickly through the dog's body makes it a silent and speedy killer. It accounts for 5% of all tumours in dogs (blackwood 1999). The warning signs of cancer in dogs are very similar to that in people. If bone cancer was not so aggressive the amputation of an infected limb would be an adequate way to ensure a dog's survival. In fact, cancer accounts for almost half of the deaths of dogs over 10 years of age. But sometimes there are little or no signs, at least early on. Those are all classic signs. Treating dogs with cancer with prednisone as a standalone treatment has been shown to have some benefits, with 50 to 70% of dogs responding to a recognizable degree. Loss of appetite and lethargy neurologic signs, such as a wobbly gait Symptoms of bone cancer are pain, swelling and sometimes bone breakage. Sneezing, difficulties in breathing, nose bleeds or other nasal discharges are common symptoms of bone cancer in dogs when the cancer has occurred in or around the nasal cavity. Distal region of the femur. Symptoms of lymphoma vary depending on what type it is, where it is, and how aggressive it is.
Bitcoin is the most popular cryptocurrency in india. At the time of writing, bitcoin's price floats around $62k, up 1% in the last seven days. Those who plan to invest need to stay updated with the bitcoin price inr status on an everyday basis. How india will challenge cryptocurrency regulation? This is probably because it is the longest living cryptocurrency, valued the highest, along with a finite. 6 Best Bitcoin & Cryptocurrency Indicators for Technical from cdn.blokt.com How india will challenge cryptocurrency regulation? Cryptocurrency prices live for all currency pairs on popular exchanges in inr (indian rupee). The most popular and largest cryptocurrency in the world by market capitalization increased by more than 1% to $55,584. At the time of writing, bitcoin's price floats around $62k, up 1% in the last seven days. Her...
How To Make Handmade Cards - Amazon Com Card Making Kits Diy Handmade Greeting Card Kits For Kids Christmas Card Folded Cards And Matching Envelopes Thank You Card Art Crafts Crafty Set Gifts For Girls Boys Arts Crafts - Creating the card will require eight very common items: . This guide covers how to make handmade cards that are very simple all the way up to very detailed. You can make your own at home with supplies you probably already have in your craft room. Use the included … 0:24. It's certainly not the only formula for making when you're learning how to make handmade cards, you might start to feel a little bit overwhelmed. How to make your very own handmade card. Making greeting cards greeting cards handmade cool cards diy cards tarjetas stampin up stamping up cards card sketches paper cards i came back to it later in the afternoon with a fresh eye and finished up with this sweet wedding card. The physical act of gathering all your special papers, pa...
Card Making Accessories Wholesale : The Ultimate Card Making Supply List - Wholesale card, card making supplies, craft paper, envelopes and cellophane bags at trade prices. . Get it as soon as wed, aug 18. Elevate your creativity with a wide selection of distinctive rubber stamps and stencils from stampers anonymous. Blowout cards is your one stop shop for all trading cards supplies! Starting at 19¢ per greeting card! Happy to highly recommend cards & pockets! Color me™ card toppers ebony lace. While many wholesale greeting cards suppliers won't offer customers options on shipping, we offer free freight shipping for orders over $400. Wholesale card making supplies are easy to maintain and can be cleaned free on ink without much hassle. Keep up the good work guys! Your online source for wholesale jewelry supplies.jewelrysupply.com My Top 10 Card Making Tools Products Of 2017 Cz Des...
Komentar
Posting Komentar